.jpg?width=1240&height=700&name=Stunning%20Hong%20Kong%20Google+%20Header%20(8).jpg)
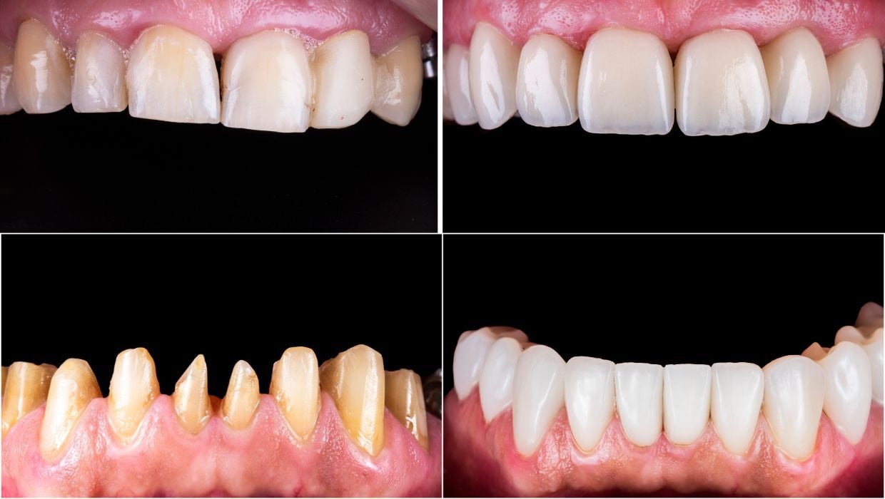
Modern restorative dentistry increasingly turns to full zirconia crowns—favored for their exceptional strength, outstanding biocompatibility, and versatile esthetics. Below, we highlight the clinical advantages and explore how JU Genesis Lab brings tailored zirconia solutions that meet every need and budget.
The Clinical Edge of Zirconia
-
Unmatched durability & strength
Zirconia is one of the strongest materials used in dental prosthetics, offering long-term resilience even in high-stress areas. With proper care, zirconia crowns can last for decades. -
Superior finish preserves opposing enamel
Polished zirconia crowns significantly reduce wear on opposing teeth compared to surface-glazed versions. Their smooth surface promotes long-term oral health and maintains aesthetics. -
Biocompatibility & healthier soft tissues
Zirconia's high biocompatibility and low bacterial adhesion support healthier gum tissue and better oral hygiene. -
Better fit, metal-free safety & modern fabrication
Fully digital CAD/CAM workflows enable precise, metal-free fabrication—ideal for patients with metal sensitivities or those seeking a more natural look. -
Variety in translucency for tailored esthetics
Multiple formulations (e.g., varying yttria content) allow dentists to balance translucency and strength for each case—front or back teeth.t
JU Genesis Lab’s Full Zirconia Lines
At JU Genesis Lab, we understand that one size does not fit all—so we offer three distinct options to match clinical demands, budgets, and patient expectations:
-
Economic Full-Zirconia Crown
A fast, cost-effective choice that still delivers essential zirconia benefits—ideal for practitioners and patients who seek value without compromising quality. -
Classical Full-Zirconia Crown
Our most trusted, time-tested solution. Loved by local dentists for its balance of aesthetics, durability, and consistency. -
Premium Full-Zirconia Crown
Tailored for discerning patients—this version boasts the highest translucency and natural detail, perfect for highly aesthetic zones and special cases.
September Promotion — Save on Excellence
This September, explore these options at specially discounted pricing:
Whether you're introducing budget-friendly options, maintaining the trusted standard, or elevating to the premium level—JU Genesis Lab has the zirconia solution that fits. And for this month only, you can offer your patients the best value without compromising on quality.
COMMENTS